• ☎083-222-8241
  • 交通アクセス
  • HOME
  • 医院紹介
  • 一般歯科
  • インプラント
  • 審美歯科
  • 設備
  • HOME
  • 医院紹介
  • 一般歯科
  • インプラント
  • 審美歯科
  • 設備
 不幸にも私の愛する家族が歯を失ったら、第一選択肢はインプラントです。
ここ数年でインプラントを取り巻く環境は激変しました。 当歯科医院ではお口の状況において、あなたに合ったインプラント治療をご提案・ご説明いたします。



適切なメインテナンスをすれば非常に長期間、順調に機能することもわかってきました。 愛する家族に受けさせたい
安心できるインプラント治療を常に頭におき、痛みが少なく、腫れなく、なるべく早く回復できるもの。
そしてその後の人生がより豊かになるサポートをしっかりできる歯科治療をこれからも行ってまいりたいと思います。

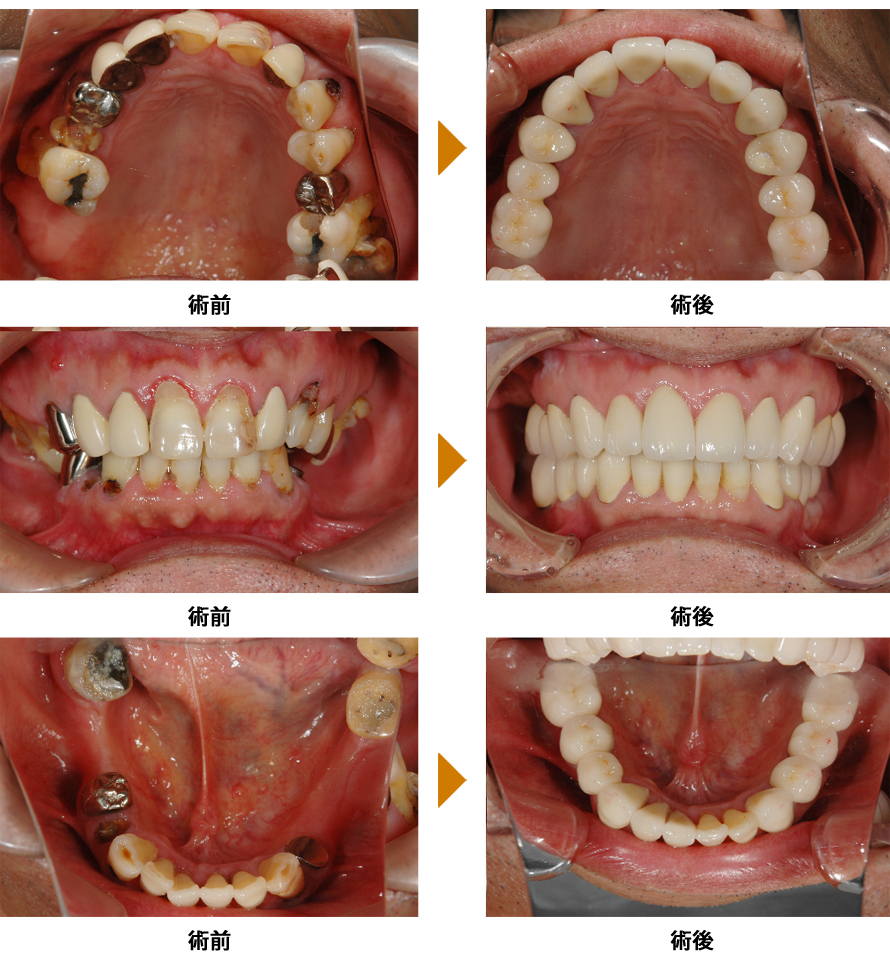
インプラントをすることで、入れ歯を回避できました。

術前
術後




↑

ホーム  医院紹介  一般歯科  インプラント  審美歯科  設備  交通アクセス
Copyright c 2010 SATO DENTAL CLINIC ALL Rights Reserved.