• ☎083-222-8241
  • 交通アクセス
  • HOME
  • 医院紹介
  • 一般歯科
  • インプラント
  • 審美歯科
  • 設備
  • HOME
  • 医院紹介
  • 一般歯科
  • インプラント
  • 審美歯科
  • 設備

ホワイトニング
ホワイトニングとは、歯を削ったりせず、薬品を 使って、歯を白くする治療法です。
当院では、仕上がりが自然な、ホームホワイトニングを行っております。
お口に合ったトレーを作成し、その中に薬を入れて、就寝時にはめていただきます。
治療期間は、約一ヶ月です。

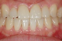
術前
術後

ラミネートベニア
歯の表面を、薄く削って、セラミックを貼り付ける治療法です。
歯が欠けた場合などに、有効な治療法です。

ラミネートベニアで、修復しました。

術前
術後


セラミッククラウン
セラミックで出来た、かぶせ物です。 透明感があり、天然歯と変わらない色調を再現できます。 当院では、数種類のセラミックを用意しており、症例に適したセラミックを選択します。

右の前歯のさし歯が脱離して、来院されました。
セラミックのさし歯を入れて、自然な口元になりました。

術前
術後


審美歯科治療にご興味の方は、是非お気軽にお問い合わせ、ご相談ください。




↑

ホーム  医院紹介  一般歯科  インプラント  審美歯科  設備  交通アクセス
Copyright c 2010 SATO DENTAL CLINIC ALL Rights Reserved.